Skip to Content

Dental Implants in Brooklyn

Natural-Looking Tooth Replacement

159 Smith Street, Brooklyn, NY 11201

718-834-9400

503 Google Reviews

Missing teeth can affect far more than your smile. They impact your confidence, your ability to enjoy your favorite foods, and even your long-term oral health. At Living Art Dentistry, we understand how life-changing it can be to restore what’s been lost. That’s why we offer advanced dental implant solutions right here in Brooklyn—combining cutting-edge technology with compassionate, personalized care.

Our Brooklyn dental office proudly serves patients from neighborhoods including Cobble Hill, Boerum Hill, Brooklyn Heights, and Carroll Gardens. Whether you’re missing a single tooth or need full-mouth restoration, our experienced team provides natural-looking, long-lasting results that help you feel like yourself again. On this page, you’ll learn about the types of implants we offer, what to expect during the process, and how we make this transformative treatment accessible and affordable.

Schedule a consultation with our Brooklyn implant dentist today and take the first step toward a complete, confident smile.

What Are Dental Implants?

Dental implants are the gold standard for tooth replacement—and for good reason. Unlike dentures or bridges that sit on top of your gums, implants are designed to replicate the entire tooth structure, from root to crown.

A Permanent Tooth Replacement Solution

A dental implant consists of three key components:

  • Titanium post: This biocompatible screw is surgically placed into your jawbone, where it acts as an artificial tooth root.
  • Abutment: A small connector piece that attaches the crown to the implant post.
  • Crown: A custom-made porcelain or ceramic tooth designed to match your natural teeth in color, shape, and function.

Once the implant fuses with your jawbone through a process called osseointegration, it becomes a permanent part of your mouth. This means no slipping, no adhesives, and no worries about your teeth moving when you eat or speak. Implants offer stability and strength that traditional dentures and bridges simply can’t match.

Who Needs Dental Implants?

Dental implants are an ideal solution for anyone dealing with:

  • One or more missing teeth due to injury, decay, or extraction
  • Damaged teeth that cannot be saved with a crown or root canal
  • Uncomfortable or ill-fitting dentures that slide or cause irritation
  • Significant tooth loss requiring full-mouth reconstruction

Whether you need a single tooth replaced or a complete smile transformation, we offer customized implant options to fit your unique needs.

Benefits of Dental Implants

Choosing dental implants means investing in your health, your appearance, and your quality of life. Here's what makes them so valuable.

Natural Look and Feel

Modern dental implants are virtually indistinguishable from natural teeth. The crown is carefully crafted to match the size, shape, and shade of your surrounding teeth, giving you a seamless smile. Because they're anchored directly into your jawbone, implants feel stable and secure—you'll regain the confidence to laugh, smile, and eat without hesitation.

Long-Term Durability

With proper care, dental implants can last a lifetime. The titanium post integrates with your jawbone, creating a foundation that's as strong as a natural tooth root. While the crown may eventually need replacement after many years of use, the implant itself is designed for permanence. This makes implants one of the most cost-effective long-term solutions available.

Preservation of Jawbone and Facial Structure

When you lose a tooth, the bone that once supported it begins to deteriorate—a process that can lead to a sunken facial appearance and shifting of surrounding teeth. Dental implants stimulate the jawbone just like natural tooth roots do, preventing bone loss and maintaining the structural integrity of your face. This not only preserves your appearance but also protects your remaining teeth from misalignment.

Types of Dental Implants We Offer

At Living Art Dentistry, we tailor our implant treatments to your specific situation. Here are the main types we provide:

Single Tooth Implant

If you’re missing just one tooth, a single implant is the ideal solution. We place one titanium post and top it with a custom crown, giving you a replacement that looks, feels, and functions exactly like your natural tooth—without affecting the neighboring teeth.

Implant-Supported Bridge

Missing two or more adjacent teeth? An implant-supported bridge uses two or more implants to anchor a series of connected crowns. This approach provides exceptional stability without requiring us to alter healthy teeth, as traditional bridges do.

Full Mouth Dental Implants

For patients who have lost most or all of their teeth, full mouth dental implants offer complete restoration. We strategically place multiple implants throughout your upper and lower arches to support a full set of permanent teeth. The result is a fully functional, beautiful smile that doesn’t require removal or special maintenance.

All-on-4 Dental Implants

All-on-4 is an innovative technique that uses just four implants per arch to support a full set of teeth. By angling the implants strategically, we can often avoid the need for bone grafting, making this an efficient and cost-effective option for full-arch restoration. Many patients appreciate the faster treatment timeline and reduced surgical complexity.

Our Dental Implant Procedure in Brooklyn

We believe in transparency. Here's exactly what you can expect when you choose Living Art Dentistry for your dental implants.

1. Initial Consultation and 3D Imaging.

Your journey begins with a comprehensive evaluation. We'll examine your oral health, discuss your goals, and use advanced 3D imaging technology to assess your jawbone density and structure. This allows us to plan your treatment with precision and determine if any preparatory work—such as bone grafting—is needed.

2. Implant Placement Surgery

Once your treatment plan is finalized, we'll schedule your implant placement. During this procedure, we carefully insert the titanium posts into your jawbone. We offer multiple sedation options to ensure your comfort, and most patients report minimal discomfort during and after the procedure. The surgery is typically completed in one visit, though complex cases may require additional appointments.

3. Healing and Osseointegration

After placement, your implants need time to integrate with your jawbone. This healing period, called osseointegration, usually takes three to six months. During this time, the bone grows around the implant, creating a stable foundation. We may provide you with temporary teeth so you can maintain your smile and function while you heal.

4. Abutment and Crown Placement

Once your implants have fully integrated, we'll attach the abutments and place your custom-made crowns. We take precise impressions to ensure your new teeth fit perfectly and match your natural bite. After a final fitting and adjustment, you'll walk out with a complete, functional smile. Throughout the entire process, our team provides thorough aftercare instructions and remains available to answer questions and address any concerns. Your comfort and successful outcome are our top priorities.

img img

How Much Do Dental Implants Cost in Brooklyn?

We know cost is an important consideration. While dental implants require an upfront investment, they're often more affordable than you might think—especially when you consider their longevity.

Factors that influence cost:

Several factors affect the overall cost of your implant treatment:

  • Type of implant: All-on-4 implants may be more budget-friendly than individual implants for each tooth.
  • Complexity of your case: Patients requiring bone grafts, sinus lifts, or extractions will have additional costs.
  • Materials used: Premium materials and advanced techniques may increase the price but offer superior results.

Every patient's situation is unique, which is why we provide personalized quotes after your initial consultation.

Insurance & Financing Options

Many dental insurance plans cover at least a portion of implant treatment, particularly when tooth loss affects your health or function. Our knowledgeable staff will work with your insurance provider to maximize your benefits.

We also offer flexible financing options to make treatment accessible. Whether through third-party financing or in-house payment plans, we’re committed to helping you get the care you need without financial stress.

Contact our team for affordable dental implants in Brooklyn and learn more about your payment options.

Benefits of Dental Implants

Choosing dental implants means investing in your health, your appearance, and your quality of life. Here's what makes them so valuable.

Natural Look and Feel

Modern dental implants are virtually indistinguishable from natural teeth. The crown is carefully crafted to match the size, shape, and shade of your surrounding teeth, giving you a seamless smile. Because they’re anchored directly into your jawbone, implants feel stable and secure—you’ll regain the confidence to laugh, smile, and eat without hesitation.

Long-Term Durability

With proper care, dental implants can last a lifetime. The titanium post integrates with your jawbone, creating a foundation that’s as strong as a natural tooth root. While the crown may eventually need replacement after many years of use, the implant itself is designed for permanence. This makes implants one of the most cost-effective long-term solutions available.

Preservation of Jawbone and Facial Structure

When you lose a tooth, the bone that once supported it begins to deteriorate—a process that can lead to a sunken facial appearance and shifting of surrounding teeth. Dental implants stimulate the jawbone just like natural tooth roots do, preventing bone loss and maintaining the structural integrity of your face. This not only preserves your appearance but also protects your remaining teeth from misalignment.

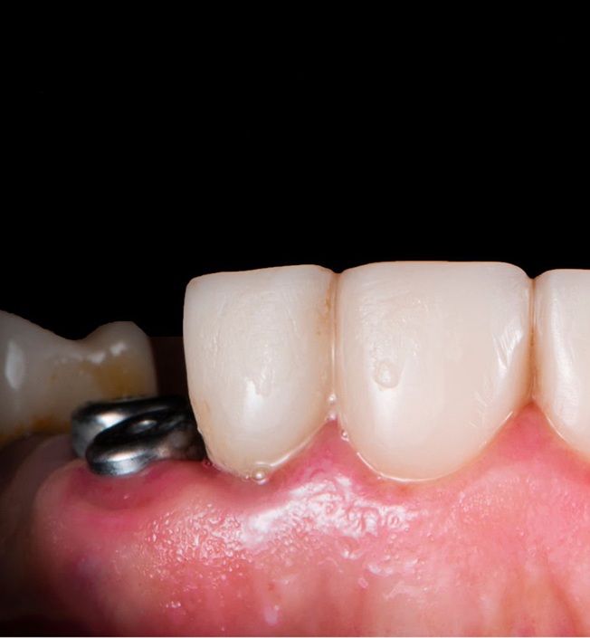
Before and After Dental Implants

Seeing is believing. Our patients' transformations speak for themselves. From single tooth replacements to complete smile makeovers, dental implants have helped countless individuals regain their confidence and quality of life.

"I was so self-conscious about my missing teeth that I barely smiled anymore. The team at Living Art Dentistry made the entire implant process easy and comfortable. Now I can't stop smiling!"

— Sarah T., Brooklyn

Areas We Serve in Brooklyn

Our dental implant specialists proudly serve patients from Brooklyn neighborhoods including Cobble Hill, Boerum Hill, Brooklyn Heights, and Carroll Gardens. These neighborhoods trust our clinic for premium tooth restoration options, including full mouth and single tooth implants. Whether you're nearby on Court Street or Atlantic Avenue, our Brooklyn dental team is ready to help you smile again.

Neighborhood Services Available Getting Here
Dental Implants in Cobble Hill Single tooth implants, implant-supported bridges, full mouth restoration, All-on-4 implants Conveniently located near Court Street and accessible from all of Cobble Hill
Dental Implants in Boerum Hill Complete implant solutions including same-day consultations, 3D imaging, and flexible financing Easy access via Atlantic Avenue and just minutes from Boerum Hill residents
Dental Implants in Brooklyn Heights Advanced implant dentistry with sedation options and personalized treatment plans Short distance from Brooklyn Heights via Court Street or Montague Street
Dental Implants in Carroll Gardens Comprehensive tooth replacement from single implants to full arch restoration Accessible from Carroll Gardens via Court Street and Smith Street

Frequently Asked Questions About Dental Implants in Brooklyn

Q 01 :Are dental implants painful? +

Most patients experience minimal discomfort during the implant procedure, especially with local anesthesia and sedation options. Any post-surgical soreness is typically manageable with over-the-counter pain medication and subsides within a few days. Many patients are surprised by how comfortable the process is.

Q 02 : How long do dental implants last? +

Most patients complete their Invisalign treatment in 12 to 18 months, though some cases may take less time or slightly longer depending on the complexity of the alignment issues. During your consultation, we’ll give you a personalized timeline based on your specific needs.

Q 03 : Can anyone get dental implants? +

Most patients complete their Invisalign treatment in 12 to 18 months, though some cases may take less time or slightly longer depending on the complexity of the alignment issues. During your consultation, we’ll give you a personalized timeline based on your specific needs.

Q 04 : What is the recovery time for dental implants? +

Most patients complete their Invisalign treatment in 12 to 18 months, though some cases may take less time or slightly longer depending on the complexity of the alignment issues. During your consultation, we’ll give you a personalized timeline based on your specific needs.

Q 05 : Are dental implants worth the cost? +

Most patients complete their Invisalign treatment in 12 to 18 months, though some cases may take less time or slightly longer depending on the complexity of the alignment issues. During your consultation, we’ll give you a personalized timeline based on your specific needs.